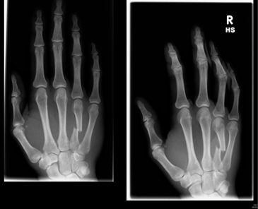
Mr Brown, a 23 year old from Manchester fell while on holiday in France. He was skiing at the time, and fell, fracturing his hand. He wanted to know whether he required to have an operation in France, or whether he could wait until he returned home. The cost for this report was an additional £250.
Mr Brown paid a total of £400. This comprised £150 for his initial assessment and £250 for his Second Opinion report.
Mr Brown registered as a user of the eCare Portal which is separate to this website. He uploaded a photo of his scans as part of the info he provided when he registered his case initially.
Our portal has undergone rigorous security checks so that his personal data is stored in compliance with UK regulations. You can read about how we make sure payments are secure on the next tab.
Our Resolve eCare portal uses a third pary payment solution called Stripe to process your payments.
-
- PCI DSS Level 1: Stripe is certified as the highest level provider, adhering to strict controls for handling cardholder data.
- Encryption & Tokenization: All financial data is encrypted in transit and at rest, and card numbers are tokenized (replaced with unique identifiers) to protect them.
- Fraud Prevention (Radar): Uses AI and machine learning, trained on massive transaction volumes, to detect and block fraudulent payments, reducing losses for businesses.
- Strong Authentication: Offers 3D Secure (Visa Secure, Mastercard Identity Check) and multi-factor authentication (MFA) for added layers of identity verification.
- Regular Audits: Subject to rigorous security audits (SOC 1 & 2) and adheres to frameworks like NIST Cybersecurity Framework.
Our business is based in Hillington, near Glasgow, in the UK. We are a friendly team that have many years experience in dealing with medical expert witness reports.
Whilst our service is primarily based online (to keep efficiency high and cost low for you the customer) we are available to speak to during UK office hours Monday to Friday.


